
HIGIENE DENTAL INFANTIL
Es importante iniciar la rutina diaria de higiene bucal desde la salida del primer diente utilizando una pasta con flúor,
Clínica Dental en Sevilla 2025 | IMOA Dentistas de Referencia

Es importante iniciar la rutina diaria de higiene bucal desde la salida del primer diente utilizando una pasta con flúor,

Está demostrado que el uso prolongado del chupete interfiere en el crecimiento y desarrollo de las estructuras bucales de los

El uso del chupete es muy habitual debido a su efecto calmante en el bebé. Durante los primeros meses de

Está demostrado que el uso prolongado del chupete interfiere en el crecimiento y desarrollo de las estructuras bucales de los

Durante el primer año de vida, la leche materna (idealmente) o fórmula, es el alimento principal del bebé. El biberón

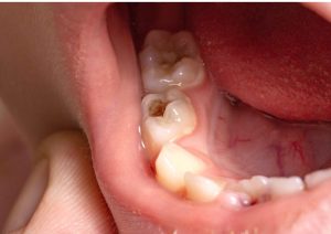
La caries dental es una de las patologías más frecuentes en la cavidad oral. Tanto a pediatras como odontólogos nos

Todos los procedimientos realizados en esta etapa se engloban dentro de la Ortodoncia Interceptiva. ¿QUÉ ES LA ORTODONCIA INTERCEPTIVA? La Ortodoncia

Nuestro peque va creciendo y le van empezando a salir los dientes definitivos pero…¡no le están saliendo bien! Están torcidos, descolocados, incluso es muy común que el diente temporal (de leche) continúe en boca y el permanente salga por dentro. La duda que surge en estos momentos es la siguiente: ¿lo llevo a un especialista en Ortodoncia Infantil o espero a que le salgan todos los dientes definitivos? Muchas veces, por desinformación, no se actúa en el momento idóneo, por eso en este…

¿QUÉ SABEMOS SOBRE EL BLANQUEAMIENTO DENTAL? El blanqueamiento dental es un tratamiento eficaz, económico y mínimamente invasivo para aclarar los dientes oscurecidos. Desde su introducción, hace más de dos décadas por Haywood y Heymann, la técnica efectuada en clínica, ha demostrado ser un tratamiento blanqueador efectivo para mejorar la estética de los dientes, dejándolos más blancos y eliminar las manchas de alimentos y bebidas.
Utilizamos cookies propias y de terceros para obtener datos estadísticos de la navegación de nuestros usuarios y mejorar nuestros servicios. Si acepta o continúa navegando, consideramos que acepta su uso. Puede obtener más información aquí
ACEPTAR